好消息!
宝鸡市妇幼保健院
开展宫腔水造影检查技术啦!

看点:什么是宫腔水造影检查技术?
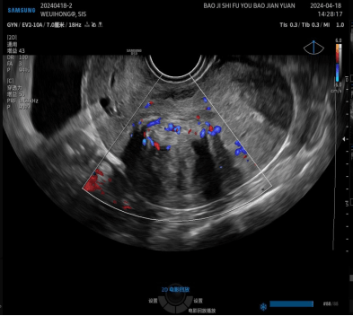
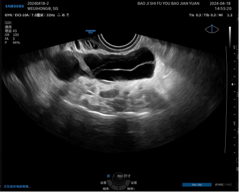
也称生理盐水宫腔声学造影(SIS)检查技术,是通过宫腔置管向宫腔内注入生理盐水使宫腔扩张,在超声监测下动态观察宫腔内情况的一种超声检查技术。宫腔水造影检查能够清晰直观的显示宫腔情况,有着操作安全便捷、检查费用低廉、检查过程无痛苦、可重复性高等特点。在球囊逐步缩小并撤管的过程中,从宫腔底部到宫颈外口都清晰可见,检查优势一目了然。


病例再现 / 01

二维超声显示肌瘤大部分位于肌壁间而不是宫腔内



宫腔水造影+三维超声显示肌瘤大部分凸向宫腔,仅有少部分位于肌壁间,二维超声不易观察到的宫腔粘连清晰可见。
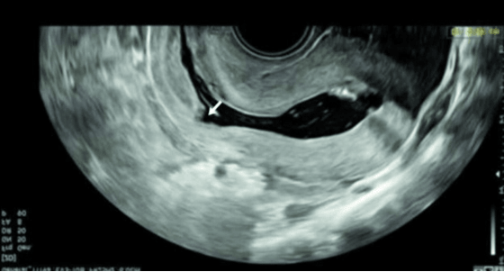
病例再现 / 02

宫腔水造影可以显示二维超声看不见的瘢痕部憩室。
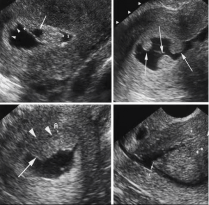
病例再现 / 03

二维超声不能确定是否存在的内膜息肉,宫腔水造影则清晰可见,还能精准定量定位息肉的大小及位置。
病例再现 / 04


患者外院取环二维超声、x线透视均未发现节育环位置及形态,宫腔水造影清晰可见变形的节育环。
宫腔水造影(SIS)检查的适应症?
对于子宫内膜息肉、宫腔粘连、粘膜下肌瘤、瘢痕部憩室、先天性子宫发育异常、宫腔残留等诊断准确率均显著高于经阴道三维超声,不但可以显示病变部位、大小、形态,还能显示病变与内膜的关系。
宫腔水造影(SIS)检查的最佳时间?
月经周期规则的女性应在月经来潮的第5~10天;不规则出血患者,可在医生指导下使用一个疗程的孕激素,根据出血停止的时间安排 SIS 检查。绝经后的女性,可在任何时期进行SIS 检查。
何种情况不适合做SIS检查?
孕期或疑似怀孕、有盆腔感染的女性都不能做SIS。
SIS检查有什么风险及并发症?
SIS检查后可能出现痛性痉挛、点状出血和阴道分泌物,最常见的严重并发症就是盆腔感染,但是这种情况的发生几率少于1%,并且通常出现在有输卵管阻塞或感染的症状的女性,如您检查后有不适加重请及时与医生取得联系。
SIS检查操作简便、安全性高、患者耐受性良好,宫腔内有了水的衬托,病灶显示得更加清楚,对宫腔病变的诊断有较高的应用价值,将会为我们更好守护女性朋友子宫健康锦上添花!

信息来源:超声医学科
投稿整理:李妍蓉
责编初审:王薇
主编复审:左曙东
领导终审:王向东
读网校对:赵皓